TUMOR DE CÉLULAS GRANULARES DE LA NEUROHIPOFISIS.PRESENTACIÓN DE UN CASO.
| Dublin Core | Elementos de metadatos de PKP | Metadatos para este documento | |
| 1. | Título | Título del documento | TUMOR DE CÉLULAS GRANULARES DE LA NEUROHIPOFISIS.PRESENTACIÓN DE UN CASO. |
| 2. | Creador | Nombre del autor, afiliación, país | Hector Jesus Gomez Suarez ; INN; Cuba |
| 3. | Materia | Disciplina(s) | |
| 3. | Materia | Palabra(s) clave(s) | tumor de celulas granulares de neurohipofisis ; lesion supraselar ; hemianopsia bitemporal |
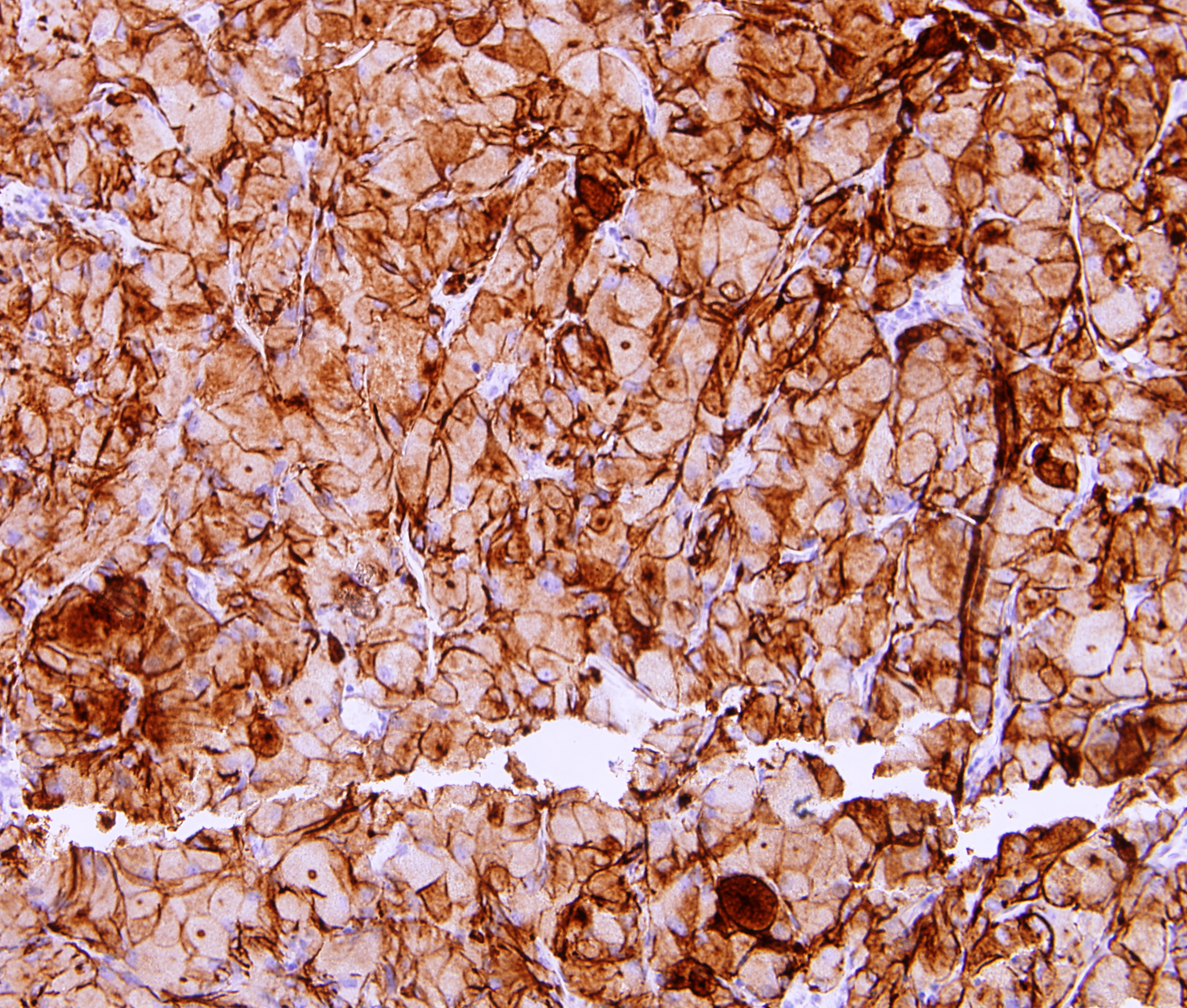
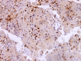
| 4. | Descripción | Resumen | Introducción. Es un tumor benigno muy infrecuente, supraselar y/o intraselar, que se origina en la neurohipófisis o en el infundíbulo. Se presenta habitualmente en la edad adulta, con mayor incidencia en mujeres. No existen síntomas o signos específicos que permitan distinguirlo de otras lesiones supraselares, aunque la diabetes insípida es relativamente infrecuente. El diagnostico final es generalmente a través de la anatomía patológica donde se constatan células con citoplasma granular eosinófilo, debido a la presencia de abundantes lisosomas. Estos tumores son immunonegativos para todas las hormonas de la hipófisis anterior, de variable positividad para la proteína S-100, y por lo general negativos para la proteína gliofibrilar ácida (GFAP). La resonancia magnética suele mostrar una lesión supraselar bien circunscrita, con captación homogénea o heterogénea de contraste. La cirugía es el tratamiento de elección. Objetivo. Dar a conocer la presencia de este tumor en nuestro medio. Material y método. Paciente de femenina de 48 años de edad, que ingresa por alteraciones del campo visual (hemianopsia bitemporal) y cefalea holocraneal.En el examen físico se constata papiledema bilateral. Resultado y discusión. Se concluye el caso como un tumor de células granulares de la neurohipofisis, y se compara con el reportado en la literatura. |
| 5. | Editor/a | Agencia organizadora, ubicación | |
| 6. | Colaborador/a | Patrocinador(es) | |
| 7. | Fecha | (AAAA-MM-DD) | 2016-10-18 |
| 8. | Tipo | Estado & género | Trabajo revisado (Peer-reviewed) |
| 8. | Tipo | Tipo | |
| 9. | Formato | Formato de fichero | PDF, DIPLOMA |
| 10. | Identificador | Indicador de Recursos Universal (URI) | http://www.morfovirtual2016.sld.cu/index.php/Morfovirtual/2016/paper/view/210 |
| 11. | Fuente | Título de la revista/congreso; vol., núm. (año) | Morfovirtual 2016; Convención Internacional Virtual de Ciencias Morfológicas |
| 12. | Idioma | Español=es | es |
| 13. | Relación | Ficheros adicionales |
Cd 68 (27KB) laminas histologica proteina acida gliofibrilar ( GFAP ) (4MB) hematoxilina y eosina (5MB) S-100 (6MB) RMN de hipofisis (62KB) |
| 14. | Cobertura | Localización geo-espacial, periodo cronológico, ejemplo de investigación (género, edad, etc.) | |
| 15. | Derechos | Copyright y permisos | El (los) autor(es) declaran que el trabajo es original y que no ha sido publicado previamente. Están de acuerdo con que se publique en el sitio del 3er Congreso Virtual de Ciencias Morfológicas (Morfovirtual 2016) |